LIBEREE ! ︎︎︎
︎︎︎ Ershadulha (kinésitherapeute, centre d’Ukhia)
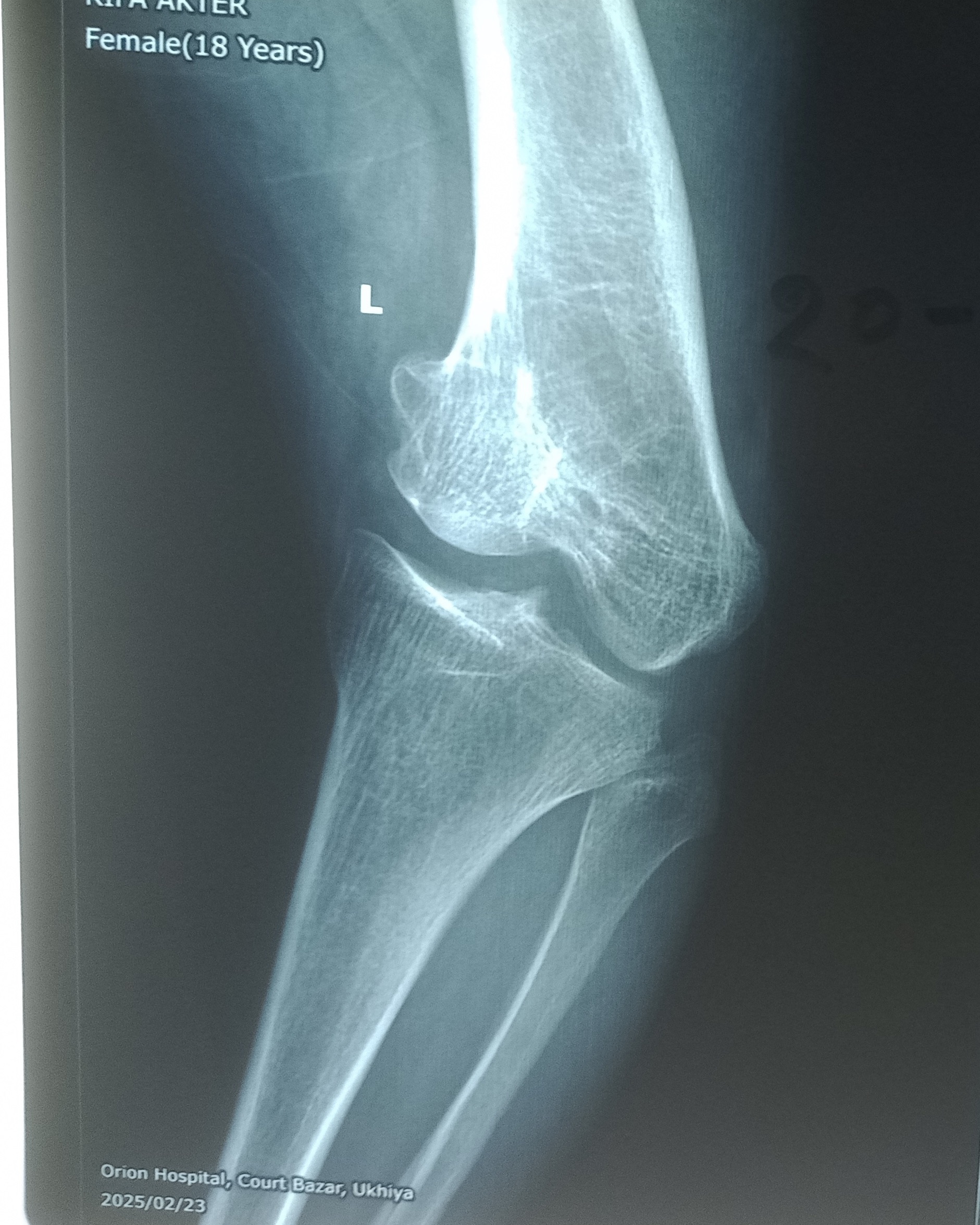
Rifa M… est née en 2001, elle habite un village proche d’Ukhia. Lorsqu'elle a commencé à marcher, sa maman a remarqué que ses jambes commençaient à se déformer. Comment faire soigner sa fille et où ? En 2007, lorsqu'un assistant médical SARPV s'est rendu à l'école de Rifa, la maman de Rifa a compris que leur fille pourrait être soignée au centre SARPV d’Ukhia. Ils ont consulté le kinésithérapeute de l’époque, qui a diagnostiqué un rachitisme et lui a prodigué un traitement. Après quelques années de traitement, sa déformation restait importante à gauche. En 2015, elle a été sélectionnée en vue d’une opération. C’est le Dr Gérard Py qui devait l’opérer. Hélas, durant les premières minutes de l’anesthésie, Rifa a fait un arrêt cardiaque. Grâce aux équipes médicales elle a pu être réanimée sans séquelles. Mais son intervention a été annulée. Ce fut une grande frayeur tant pour l’équipe que pour Rifa et sa famille. Il n’a donc pas été programmé de nouvelle intervention. Dix ans plus tard, ayant fini ses études secondaires, Rifa a décidé de revenir au centre en vue d’une opération. Elle n’avait plus peur et voulait en finir avec ses douleurs, la déformation de sa jambe gauche et… les critiques et moqueries des voisins. En 2025, elle a finalement été opérée avec succès par le Dr Py.
Le sentiment de Rifa : « Quand j'étais enfant, mes amies me critiquaient beaucoup et je ne jouais pas à cause de mes jambes déformées. Et en grandissant, mes voisins ont commencé à m'insulter de toutes sortes de manières. Maintenant je mène une vie normale, Je suis reconnaissante à SARPV et aux docteurs de m'avoir libérée de cette vie maudite. »



